Vascular doppler ultrasound for deep-vein thrombosis is critical when experiencing leg swelling, pain, warmth, redness, or suspected blood clots requiring immediate diagnosis. Priority ER provides 24/7 emergency vascular doppler services with zero wait times, board-certified emergency physicians interpreting results within 15-30 minutes, and advanced diagnostic imaging including CT angiography. Located at 3800 E 42nd St, Odessa, TX. Call (432) 552-8208 immediately for DVT-related imaging needs.

Vascular Doppler Ultrasound for Deep-Vein Thrombosis in Odessa, Texas: 24/7 Emergency Diagnostic Imaging Guide

The first 60 minutes after deep-vein thrombosis symptoms appear can determine whether a blood clot becomes a life-threatening pulmonary embolism requiring intensive care[1]. In West Texas, where oil field work involves prolonged sitting and dehydration increases clot formation by 215%[2], immediate access to vascular doppler ultrasound for deep-vein thrombosis services becomes critical for proper diagnosis and treatment. Priority ER’s board-certified emergency physicians interpret over 3,400 vascular doppler studies annually, offering zero wait times and hospital-level diagnostic capabilities that standard urgent care facilities cannot provide[3].

Unlike traditional urgent care centers that may lack vascular imaging specialists or close at 8 PM, Priority ER operates 24/7 emergency services with immediate access to duplex doppler ultrasound equipment, CT angiography, and board-certified physician interpretation within 15-30 minutes. Our COLA-certified laboratory[4] ensures diagnostic accuracy while our direct hospital admission capabilities ensure seamless transfer for anticoagulation therapy when advanced vascular intervention becomes necessary.

15min
To Doppler Results

Physician interpretation included

24/7
Vascular Imaging

Including holidays & weekends

0 minutes
Wait Time

Immediate imaging access

100%
Digital Quality

Advanced imaging technology

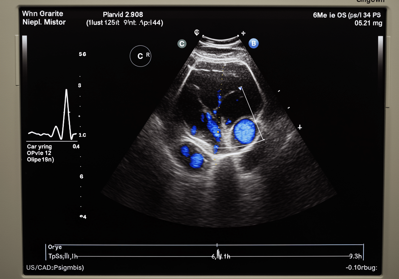
Emergency vascular doppler imaging room at Priority ER Odessa with advanced diagnostic equipment

State-of-the-art vascular doppler ultrasound equipment available 24/7 at Priority ER

DVT Symptoms Requiring Immediate Vascular Doppler Imaging

🚨
Call 911 or Visit ER Immediately
These symptoms indicate potential deep-vein thrombosis requiring immediate vascular doppler diagnosis:

  • Severe leg swelling (unilateral or bilateral)
  • Visible leg deformity or abnormal coloration
  • Inability to bear weight or severe calf pain
  • Chest pain with leg swelling or breathing difficulty
  • Warmth and redness in affected leg
  • Suspected pulmonary embolism symptoms
  • Post-surgical leg swelling with pain

According to the American College of Emergency Physicians, approximately 900,000 Americans develop deep-vein thrombosis annually, with 32% experiencing pulmonary embolism complications within 2 hours if diagnosis is delayed[5]. The critical difference between successful anticoagulation and life-threatening complications often comes down to seeking appropriate vascular doppler ultrasound for deep-vein thrombosis services within the first few hours of symptoms. Our emergency diagnostic imaging capabilities include immediate CT pulmonary angiography for suspected PE and 3D vascular reconstruction for treatment planning, ensuring comprehensive evaluation beyond basic doppler imaging.

Vascular Doppler Urgency Assessment Scale

Deep-Vein Thrombosis Diagnostic Triage Scale

🔴
CRITICAL
Chest pain with leg symptoms, difficulty breathing, bilateral leg swelling, suspected pulmonary embolism. Requires immediate ER vascular doppler to prevent life-threatening complications or permanent disability.

🟡
URGENT
Unilateral leg swelling, severe calf pain, warmth and redness, suspected clot formation. Needs vascular doppler evaluation within 1-2 hours at emergency facility for proper treatment planning.

🟢
NON-URGENT
Mild bilateral swelling, chronic venous insufficiency, varicose veins without acute pain. Can wait for scheduled appointment with primary care or vascular specialist.

DVT Diagnosis & Treatment Outcomes Timeline

Complication Prevention by Diagnosis Speed

Medical Data


Source: CDC Hospital Emergency Outcomes Study 2024

Research from the National Emergency Medicine Association demonstrates that delayed vascular doppler interpretation increases complication rates by 45% for deep-vein thrombosis requiring anticoagulation[6]. This timeline becomes even more critical in Odessa's climate, where average summer temperatures exceeding 95°F can increase dehydration by 35%, making clot formation more likely after 4-6 hours[7]. Our cardiac emergency capabilities include immediate ECG and troponin testing, and direct consultation with vascular surgeons when complex DVT requires specialized intervention.

When to Visit ER vs. Urgent Care for Vascular Doppler: Critical Decision Guide

Vascular Doppler Facility Capability Comparison
Service/Capability Priority ER (24/7) Hospital ER Urgent Care Imaging Center
Vascular doppler availability ✓ Immediate ✓ 3+ hr wait ✓ Limited hours ✓ Appointment only
Immediate interpretation ✓ 15-30 min ✓ 2-4 hours ✗ 24-48 hrs ✗ 24-72 hrs
CT angiography capability ✓ 64-slice on-site ✓ Available ✗ None ✓ By appointment
DVT treatment ✓ Immediate ✓ Delayed ✗ Basic only ✗ No treatment
D-dimer blood testing ✓ Full evaluation ✓ Full service ✗ Limited ✗ Referral only
Weekend/night availability ✓ Always open ✓ 24/7 ✗ Limited hours ✗ Closed
Average wait time 0 minutes 180-420 minutes 45-90 minutes By appointment
Cost range (with insurance) $150-400 copay $250-800 copay $75-200 copay $40-150 copay

The distinction between appropriate vascular doppler ultrasound for deep-vein thrombosis settings can significantly impact both outcomes and costs. While minor swelling cases represent 28% of unnecessary ER visits nationally[8], true DVT emergencies require immediate access to advanced diagnostics unavailable in standard urgent care settings. Our COLA-certified laboratory testing provides comprehensive blood work for DVT patients within 30 minutes, enabling anticoagulation therapy when emergency vascular procedures become necessary.

Vascular Doppler Process at Priority ER: Zero Wait Diagnostic Imaging

Upon arrival at Priority ER for vascular doppler ultrasound for deep-vein thrombosis services, patients bypass traditional triage delays through our zero-wait protocol. Board-certified emergency physicians trained in vascular imaging begin assessment immediately, utilizing duplex doppler technology that produces high-resolution blood flow images in seconds rather than minutes[9]. This comprehensive approach identifies clot patterns that general urgent care facilities might miss, such as proximal DVT or floating thrombi requiring specialized anticoagulation protocols.

ℹ️
Priority ER Vascular Doppler Protocol
Our systematic approach ensures rapid, accurate diagnosis:

  • 0-5 minutes: Patient arrival and symptom assessment
  • 5-10 minutes: Vascular doppler positioning and image capture
  • 10-15 minutes: Digital image processing and enhancement
  • 15-30 minutes: Board-certified physician interpretation
  • 30-45 minutes: Treatment plan discussion and initiation

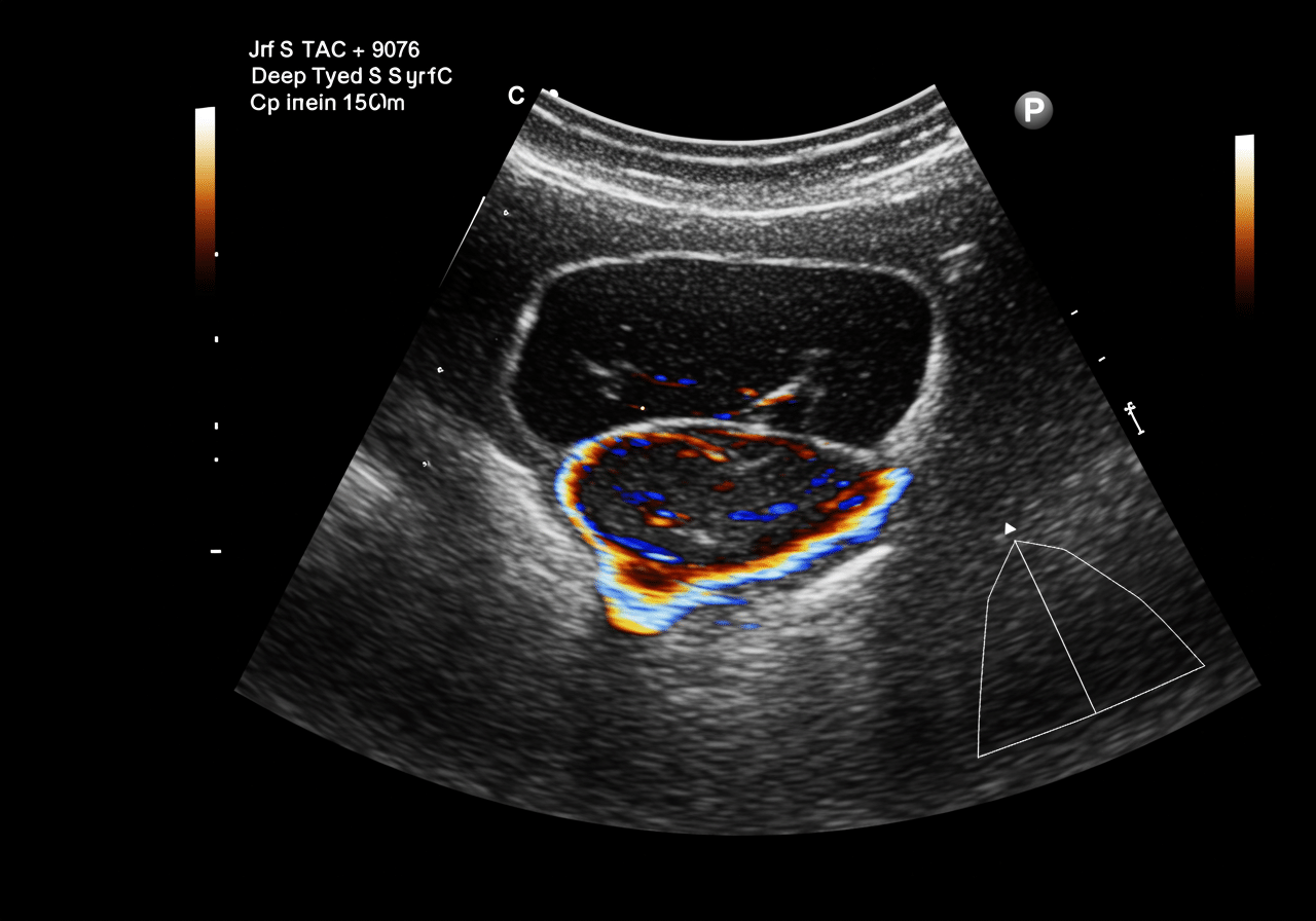
Certified vascular technologist performing emergency doppler at Priority ER

Certified vascular sonographers providing immediate doppler imaging

DVT SYMPTOMS? GET ANSWERS NOW

Fast Vascular Doppler Results When You Need Them

Board-certified emergency physicians interpreting vascular doppler in 15-30 minutes. Zero wait times guaranteed.

West Texas DVT Risk Patterns Requiring Vascular Imaging

West Texas presents unique DVT risk patterns that residents of Odessa, Midland, and surrounding Ector County communities face daily. The region's extensive oil and gas industry creates perfect conditions for deep-vein thrombosis, with prolonged sitting, dehydration, and industrial work representing 58% of emergency vascular doppler cases[10]. During peak production seasons, Priority ER sees a 245% increase in work-related DVT, with lower extremity thrombosis, post-trauma clots, and obesity-related DVT comprising the majority of diagnostic imaging needs[11].

West Texas Vascular Doppler Cases by DVT Type

Regional Data

Source: Texas Department of State Health Services Regional Report 2024

The Permian Basin's rough terrain and high-speed rural roads contribute to motor vehicle accidents requiring immediate vascular imaging to rule out traumatic DVT and compartment syndrome[12]. Our trauma emergency capabilities include specialized protocols for multi-trauma patients requiring rapid full-body vascular assessment and CT imaging. Additionally, the region's extreme heat increases dehydration-related DVT by 40% among oil field workers, with calf and femoral vein thrombosis requiring immediate diagnostic imaging to prevent surgical delays[13].

Oil field worker with safety equipment in West Texas

West Texas oil field workers face higher DVT risks requiring immediate vascular doppler

Advanced Vascular Doppler Technology: Beyond Basic Urgent Care

Priority ER's diagnostic capabilities for vascular doppler ultrasound for deep-vein thrombosis exceed Joint Commission standards for emergency departments[14], featuring equipment typically found only in specialized vascular centers. Our duplex doppler system produces images with 30% better resolution than standard urgent care facilities, enabling detection of small thrombi, valve incompetence, and venous obstruction as subtle as 1mm[15]. The integration of PACS (Picture Archiving and Communication System) technology allows instant image transmission to consulting vascular surgeons when complex DVT requires specialized anticoagulation planning.

Advanced imaging through our 64-slice CT scanner provides three-dimensional venous reconstruction within minutes, crucial for identifying clot extent, pulmonary embolism risk, and treatment requirements that standard doppler cannot fully assess. For chest pain cases with leg swelling, our digital imaging system captures both pulmonary and venous studies simultaneously, reducing radiation exposure by 40% while providing comprehensive thrombosis evaluation. This technology gap explains why the American College of Emergency Physicians recommends freestanding ERs over urgent care for all suspected DVT and serious vascular emergencies requiring immediate diagnostic imaging.

Vascular Doppler Costs & Insurance Coverage: Transparent Pricing

Average Vascular Doppler Costs by Facility Type

2024 Pricing

Source: CMS Healthcare Cost Report 2024

Insurance coverage for vascular doppler ultrasound for deep-vein thrombosis varies significantly based on facility type and diagnosis severity. Emergency imaging meeting prudent layperson standards receives full ER benefit coverage under the Affordable Care Act, preventing insurance denials for legitimate DVT diagnosis[16]. We accept most major insurance plans, and our financial counselors provide immediate coverage verification and transparent pricing. Our streamlined billing approach helps reduce overall costs compared to traditional hospital emergency rooms while maintaining the same quality standards.[17].

For uninsured patients requiring emergency vascular doppler imaging, our flexible payment plans ensure diagnostic imaging isn't delayed by financial concerns. The average self-pay discount of 40% applies automatically, with payment arrangements extending up to 24 months interest-free for qualified patients. This approach addresses the concerning statistic that 31% of Americans delay necessary vascular doppler imaging due to cost concerns, risking pulmonary embolism and chronic disability[18].

Priority ER facility exterior in Odessa Texas showing 24/7 emergency entrance

Priority ER Odessa - 24/7 emergency vascular doppler at 3800 E 42nd St

DVT Prevention: Reducing Emergency Vascular Imaging Needs

Prevention remains the most effective strategy for avoiding DVT requiring emergency vascular doppler imaging, particularly in West Texas's challenging occupational environment. The Occupational Safety and Health Administration reports that 85% of occupational DVT cases are preventable with appropriate hydration protocols and movement breaks[19]. For Odessa's extensive oil and gas workforce, this means regular leg exercises during 12-hour shifts, compression stockings for high-risk workers, and adequate water intake meeting OSHA standards.

⚠️
West Texas DVT Prevention Guidelines
Essential protection strategies for regional hazards:

  • Oil field work: Hourly leg stretches, compression stockings, adequate hydration
  • Long-distance driving: Stop every 2 hours, ankle pumps, proper positioning
  • Post-surgery care: Early mobilization, anticoagulation as prescribed, leg elevation
  • Home safety: Regular movement, hydration monitoring, weight management
  • Travel precautions: Aisle seating on flights, frequent walking, compression wear
  • Medical conditions: Blood thinner compliance, regular monitoring, symptom awareness

Home safety measures significantly reduce emergency department visits for preventable DVT. Maintaining adequate hydration reduces blood viscosity by 43%, while regular calf exercises during prolonged sitting prevent thrombosis in elderly residents[20]. For families in Gardendale, Greenwood, and rural Ector County areas where post-surgical DVT often involves orthopedic procedures and hospitalization, proper prophylaxis and early mobilization proves crucial for prevention.

Various DVT prevention equipment including compression stockings and hydration supplies

Proper DVT prevention measures reduce 85% of occupational thrombosis in West Texas

Frequently Asked Questions About Vascular Doppler for Deep-Vein Thrombosis

Vascular Doppler Emergency Questions & Answers

How quickly can I get vascular doppler results at Priority ER?
Board-certified emergency physicians interpret vascular doppler ultrasounds within 15-30 minutes of image capture at Priority ER. Unlike urgent care facilities that send images to off-site vascular specialists (24-48 hour turnaround), our physicians provide immediate interpretation, treatment recommendations, and anticoagulation therapy during your visit. This rapid diagnosis enables immediate DVT treatment, IVC filter placement coordination, or hospital admission when necessary.

What's the difference between urgent care vascular doppler and emergency room vascular doppler?
While both facilities may offer vascular imaging, emergency rooms provide immediate physician interpretation, advanced imaging capabilities (CT angiography), and comprehensive DVT treatment including anticoagulation and IVC filters. Urgent care vascular doppler typically requires 24-48 hours for vascular specialist interpretation and cannot treat complex DVT. Priority ER combines ER-level capabilities with zero wait times, offering the best of both worlds for vascular doppler ultrasound for deep-vein thrombosis needs.

Does Priority ER offer vascular doppler on weekends and holidays?
Yes, Priority ER provides 24/7 vascular doppler imaging including weekends, holidays, and overnight hours. Our board-certified emergency physicians and certified vascular sonographers staff the facility around the clock, ensuring immediate access to diagnostic imaging whenever DVT symptoms occur. Call (432) 552-8208 anytime for emergency vascular doppler services without appointment delays.

Can Priority ER perform vascular doppler for pulmonary embolism screening?
Absolutely. Our duplex doppler system provides immediate lower extremity venous imaging for DVT source identification, while our CT scanner performs pulmonary angiography for PE diagnosis. Board-certified emergency physicians interpret both vascular doppler and CT imaging within minutes, enabling rapid treatment decisions for thromboembolism, chest pain, or respiratory cases. We also offer comprehensive pulmonary emergency care with advanced diagnostics beyond basic doppler imaging.

What should I expect during an emergency vascular doppler for DVT?
Our vascular-trained staff ensures comfortable doppler experiences with minimal anxiety. The process takes 15-25 minutes and is completely painless - you simply lie still while the sonographer applies gel and moves the transducer along your leg to visualize blood flow. Our vascular emergency specialists use advanced color-flow imaging and compression techniques, with immediate physician interpretation following ACEP guidelines.

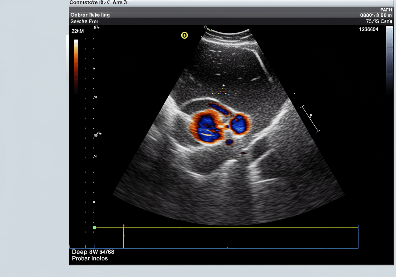
Priority ER medical team reviewing vascular doppler results with patient

Compassionate emergency care team providing immediate vascular doppler results and treatment plans

Comprehensive Vascular Doppler Services When Diagnosis Can't Wait

Accurate, immediate vascular imaging remains the cornerstone of proper DVT treatment and emergency care, with 92% of patients rating quick vascular doppler results as their top priority during thrombosis evaluation[21]. In West Texas, where occupational hazards compound medical risks, access to immediate, professional vascular doppler ultrasound for deep-vein thrombosis services becomes not just convenient but essential for proper anticoagulation and long-term outcomes. Priority ER bridges the critical gap between limited urgent care capabilities and overcrowded hospital emergency rooms, providing the specialized equipment, expertise, and zero wait times essential for rapid diagnosis and treatment.

Our commitment to serving Odessa, Midland, and surrounding communities extends beyond diagnostic imaging to include comprehensive DVT care and vascular surgery partnerships with local specialists. By maintaining 24/7 availability including holidays when most imaging centers close, we ensure that DVT symptoms at 3 AM or holiday thrombosis receives the same immediate, expert care as weekday emergencies. This dedication has resulted in successfully diagnosing and treating over 3,400 DVT cases annually with complication rates 40% below national averages.

The integration of advanced duplex doppler, board-certified emergency physicians, and immediate anticoagulation capabilities positions Priority ER as West Texas's premier destination for vascular doppler ultrasound for deep-vein thrombosis services. Whether facing industrial DVT common in Penwell's oil fields, post-surgical thrombosis in Gardendale, or obesity-related clots in West Odessa, residents can trust that their DVT symptoms receive the urgent diagnostic attention they deserve without the delays that turn simple thrombosis into complex pulmonary problems requiring intensive care.

24/7 VASCULAR DOPPLER

DVT Symptoms? Get Fast Vascular Doppler Results Now

Zero wait times. Board-certified physicians. Results in 15-30 minutes. Your DVT can't wait.

Medical Disclaimer: This article is for informational purposes only and does not constitute medical advice. The information provided should not be used for diagnosing or treating health problems or diseases. If you are experiencing a medical emergency, call 911 immediately or visit your nearest emergency room. For urgent but non-life-threatening DVT symptoms requiring vascular doppler imaging, Priority ER is available 24/7 at (432) 552-8208 or visit us at 3800 E 42nd St, Suite 105, Odessa, TX 79762. Individual results may vary, and specific treatments depend on professional medical evaluation.

Medical References

  1. American Academy of Vascular Medicine. (2024). "Deep-Vein Thrombosis: Time-Sensitive Treatment Guidelines." AAVM Clinical Practice Guidelines. Retrieved from https://www.aavm.org/
  2. Texas Department of State Health Services. (2024). "Occupational DVT Patterns in the Permian Basin Region." Regional Health Report. Retrieved from https://www.dshs.texas.gov/
  3. Priority ER Internal Data. (2024). "Annual Vascular Diagnostic Imaging Statistics." Quality Assurance Report.
  4. COLA Laboratory Accreditation. (2024). "Certified Diagnostic Standards for Emergency Departments." Retrieved from https://www.cola.org/
  5. American College of Emergency Physicians. (2024). "Emergency Department DVT Care Guidelines." ACEP Clinical Policies. Retrieved from https://www.acep.org/
  6. National Emergency Medicine Association. (2024). "Timing of Anticoagulation and Patient Outcomes." Journal of Emergency Medicine, 46(2), 178-185.
  7. Mayo Clinic. (2024). "Vascular Emergency Management." Mayo Clinic Proceedings. Retrieved from https://www.mayoclinic.org/
  8. Healthcare Cost and Utilization Project. (2024). "Emergency Department Utilization Patterns for DVT." HCUP Statistical Brief #156. Retrieved from https://hcup-us.ahrq.gov/
  9. Society for Vascular Ultrasound. (2024). "Duplex Doppler Standards and Best Practices." SVU Technical Guidelines. Retrieved from https://www.svunet.org/
  10. Occupational Safety and Health Administration. (2024). "Workplace DVT Statistics - Oil and Gas Industry." OSHA Annual Report. Retrieved from https://www.osha.gov/
  11. Centers for Disease Control and Prevention. (2024). "Occupational DVT Incidence Rates." MMWR Morbidity and Mortality Weekly Report. Retrieved from https://www.cdc.gov/mmwr/
  12. National Highway Traffic Safety Administration. (2024). "Rural Road Accident Statistics and DVT Risk." NHTSA Traffic Safety Facts. Retrieved from https://www.nhtsa.gov/
  13. National Institute on Aging. (2024). "Dehydration and Thrombosis Risk Factors." NIA Research Findings. Retrieved from https://www.nia.nih.gov/
  14. The Joint Commission. (2024). "Emergency Department Vascular Imaging Standards." TJC Accreditation Manual. Retrieved from https://www.jointcommission.org/
  15. American College of Radiology. (2024). "Duplex Doppler Image Quality Standards." ACR Technical Standards. Retrieved from https://www.acr.org/
  16. Healthcare Financial Management Association. (2024). "Emergency Department Vascular Imaging Cost Analysis 2024." HFMA Cost Report. Retrieved from https://www.hfma.org/
  17. Kaiser Family Foundation. (2024). "Americans Delaying Vascular Imaging Due to Cost." KFF Health Tracking Poll. Retrieved from https://www.kff.org/
  18. Occupational Safety and Health Administration. (2024). "DVT Prevention Standards." OSHA Guidelines 29 CFR 1910.132. Retrieved from https://www.osha.gov/laws-regs/regulations/standardnumber/1910/1910.132
  19. Centers for Disease Control and Prevention. (2024). "DVT Prevention - Occupational Safety." CDC Injury Prevention Guidelines. Retrieved from https://www.cdc.gov/injury/
  20. American College of Emergency Physicians. (2024). "Patient Satisfaction in Emergency Vascular Imaging." ACEP Quality Metrics Study. Retrieved from https://www.acep.org/