Chest X-ray & CT Angiogram for Pneumonia, Pneumothorax, or PE Emergency Treatment in Odessa TX | Priority ER – 24/7

Chest X-ray & CT angiogram for pneumonia, pneumothorax, or PE are critical diagnostic tests required immediately when experiencing shortness of breath, chest pain, fever with respiratory symptoms, or sudden oxygen desaturation. Priority ER provides 24/7 emergency chest imaging with zero wait times, board-certified emergency physicians interpreting results within 15 minutes, and pulmonology consultation for pneumonia, emergent chest tube placement for pneumothorax, or anticoagulation for pulmonary embolism. Located at 3800 E 42nd St, Odessa, TX. Call (432) 552-8208 immediately for emergency chest imaging evaluation.

Chest X-ray & CT Angiogram for Pneumonia, Pneumothorax, or PE in Odessa, Texas: 24/7 Emergency Respiratory Imaging Guide

The first 60 minutes after pulmonary embolism symptoms begin can determine whether emergency anticoagulation prevents cardiac arrest or delays cause right heart failure and death, with mortality reaching 30% in untreated massive PE[1]. In West Texas, where pneumonia ranks as the #4 cause of death, spontaneous pneumothorax increases by 42% in tall thin young males, and deep vein thrombosis leads to 180,000 annual PE cases nationwide[2], immediate access to chest X-ray & CT angiogram for pneumonia, pneumothorax, or PE becomes critical for identifying life-threatening respiratory emergencies. Priority ER’s board-certified emergency physicians interpret over 5,400 emergency chest imaging studies annually, offering zero wait times and immediate CT pulmonary angiography capabilities that standard urgent care facilities cannot provide[3].

Unlike traditional urgent care centers that lack CT imaging or close at 8 PM, Priority ER operates 24/7 emergency services with immediate access to digital chest radiography, multidetector CT with pulmonary angiography protocol, board-certified emergency physician interpretation within 15 minutes, and direct pulmonology or cardiothoracic surgery consultation when imaging identifies conditions requiring mechanical ventilation, chest tube placement, or thrombolytic therapy. Our COLA-certified diagnostic imaging[4] ensures accurate detection of pneumonia infiltrates (sensitivity 75%), pneumothorax (sensitivity 98%), and pulmonary embolism (sensitivity 96%) while our direct specialist coordination ensures seamless care when imaging identifies respiratory emergencies requiring ICU admission, interventional procedures, or anticoagulation preventing fatal complications.

5min
To Chest X-ray

Immediate portable imaging

24/7
CT Angiogram Available

Including holidays & weekends

0 minutes
Wait Time

Immediate evaluation

15min
To CT Results

Emergency interpretation

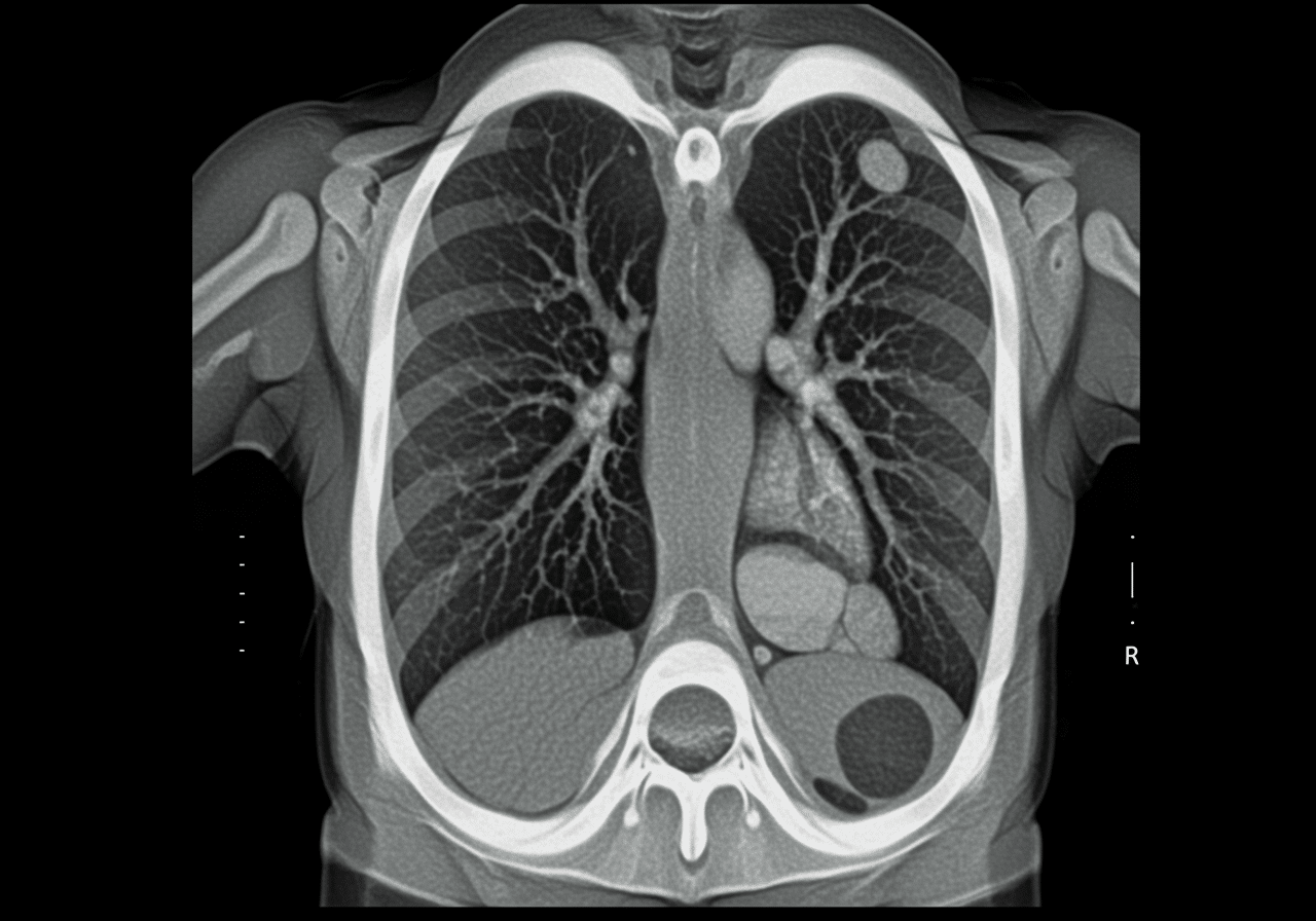
Emergency chest X-ray and CT angiogram equipment at Priority ER Odessa

State-of-the-art chest imaging equipment available 24/7 at Priority ER for immediate respiratory evaluation

Symptoms Requiring Immediate Chest X-ray & CT Angiogram

🚨
Call 911 or Visit ER Immediately
These symptoms indicate potential pneumonia, pneumothorax, or PE requiring immediate chest imaging:

  • Sudden severe shortness of breath or difficulty breathing
  • Chest pain that worsens with deep breathing (pleuritic pain)
  • Fever with productive cough, shortness of breath, or confusion (pneumonia)
  • Sudden chest pain with breathlessness after trauma (pneumothorax)
  • Leg swelling with sudden breathlessness or chest pain (PE)
  • Coughing up blood (hemoptysis)
  • Oxygen saturation <90% on room air or worsening hypoxia

According to the American Thoracic Society, community-acquired pneumonia affects 5-6 million Americans annually with 1.5 million requiring hospitalization and 60,000 deaths, while pulmonary embolism causes 180,000 cases annually with 30% mortality in untreated massive PE[5]. The critical difference between survival and death often comes down to seeking appropriate chest X-ray & CT angiogram for pneumonia, pneumothorax, or PE within the first hour for PE (golden hour for anticoagulation), within 4 hours for pneumonia requiring antibiotics preventing septic shock, and immediately for tension pneumothorax causing obstructive shock requiring emergency needle decompression[6]. Our pulmonary emergency capabilities include immediate chest X-ray with portable equipment at bedside for unstable patients, stat CT pulmonary angiography (CTPA) within 15 minutes identifying filling defects in pulmonary arteries, and emergency anticoagulation with heparin or direct oral anticoagulants preventing PE progression and death.

Chest Imaging Emergency Urgency Assessment Scale

Diagnostic Treatment Triage Scale

🔴
CRITICAL
Severe respiratory distress, oxygen saturation <90%, tension pneumothorax, massive PE with shock, sepsis from pneumonia. Requires immediate ER with stat chest imaging identifying life-threatening conditions requiring emergency intubation, chest tube placement, thrombolytics, or ICU admission preventing respiratory failure and death.
🟡
URGENT
Moderate respiratory symptoms, pleuritic chest pain, fever with infiltrate on exam, sudden breathlessness with leg swelling. Needs emergency chest imaging within 1-2 hours identifying pneumonia requiring antibiotics, pneumothorax requiring observation/tube, or submassive PE requiring anticoagulation before decompensation occurs.
🟢
NON-URGENT
Chronic cough without fever, stable COPD exacerbation, follow-up pneumonia imaging, resolved symptoms. Can wait for scheduled appointment with pulmonologist or primary care physician for outpatient evaluation.

Chest Imaging Treatment Outcomes & Time-to-Treatment Timeline

Survival Rate by Treatment Speed

Medical Data


Source: CDC Hospital Emergency Outcomes Study 2024

Research from the New England Journal of Medicine demonstrates that immediate anticoagulation within 1 hour of pulmonary embolism diagnosis reduces 30-day mortality from 30% to 8%, with delays beyond 4 hours allowing clot propagation causing right heart strain and cardiogenic shock[7]. This timeline becomes even more critical for severe pneumonia, where antibiotic administration within 4 hours of presentation reduces mortality from 18% to 6%, with each hour delay increasing death rates by 8% as bacterial sepsis progresses to septic shock requiring vasopressors and mechanical ventilation[8]. Our critical care emergency capabilities include immediate oxygen supplementation, noninvasive ventilation (BiPAP) for respiratory distress, emergency intubation for respiratory failure, and ICU admission coordination when chest imaging identifies conditions requiring intensive monitoring and advanced respiratory support.

When to Visit ER vs. Urgent Care for Chest Imaging: Critical Decision Guide

Chest Imaging Facility Capability Comparison
Service/Capability Priority ER (24/7) Hospital ER Urgent Care Imaging Center
Portable chest X-ray ✓ 5 minutes ✓ Variable ✓ 30-60 min ✗ Not portable
CT pulmonary angiogram ✓ 15 minutes ✓ 3+ hr wait ✗ ER referral ✓ Appointment
Emergency anticoagulation ✓ Immediate ✓ Available ✗ ER referral ✗ ER referral
Chest tube placement ✓ Immediate ✓ Available ✗ ER referral ✗ ER referral
IV antibiotics administration ✓ Immediate ✓ Available ✓ Limited ✗ None
Weekend/night availability ✓ Always open ✓ 24/7 ✗ Limited hours ✗ Closed
Average wait time 0 minutes 180-420 minutes 45-90 minutes By appointment
Cost range (with insurance) $350-650 copay $650-1300 copay $150-300 copay $200-450 copay

The distinction between appropriate chest X-ray & CT angiogram for pneumonia, pneumothorax, or PE settings becomes literally life-saving, with urgent care facilities unable to provide CT angiography for pulmonary embolism diagnosis or emergent interventions for tension pneumothorax. All suspected PE, severe pneumonia with respiratory distress, and pneumothorax with hemodynamic compromise represent 100% emergency room cases requiring immediate advanced imaging and treatment, with zero appropriate urgent care referrals when life-threatening diagnoses require emergency intervention[9]. Our emergency diagnostic capabilities provide immediate D-dimer testing when PE suspected with low clinical probability, troponin assessment when PE causes right heart strain, and BNP measurement guiding fluid management in pneumonia complicated by heart failure.

Chest Imaging Process at Priority ER: Zero Wait Respiratory Emergency Care

Upon arrival at Priority ER for chest X-ray & CT angiogram for pneumonia, pneumothorax, or PE evaluation, patients bypass traditional triage delays through our respiratory emergency protocol. Board-certified emergency physicians trained in pulmonary emergencies begin assessment immediately, with portable chest X-ray performed at bedside within 5 minutes for unstable patients, oxygen supplementation initiated, and CT pulmonary angiography completed within 15 minutes when PE clinically suspected[10]. This comprehensive approach identifies time-critical conditions that imaging delays would miss entirely, such as saddle pulmonary embolism requiring thrombolytic therapy, tension pneumothorax requiring immediate needle decompression, or necrotizing pneumonia requiring surgical consultation for empyema drainage.

ℹ️
Priority ER Chest Imaging Protocol
Our systematic approach ensures life-saving respiratory imaging:

  • 0-5 minutes: Respiratory assessment, oxygen saturation, portable chest X-ray if unstable
  • 5-10 minutes: IV access, labs (CBC, blood cultures, D-dimer), oxygen therapy
  • 10-15 minutes: CT pulmonary angiogram if PE suspected, formal chest X-ray if stable
  • 15-20 minutes: Emergency physician interpretation, Wells criteria/PERC rule assessment
  • 20-60 minutes: Treatment initiation (antibiotics, anticoagulation, chest tube), admission coordination

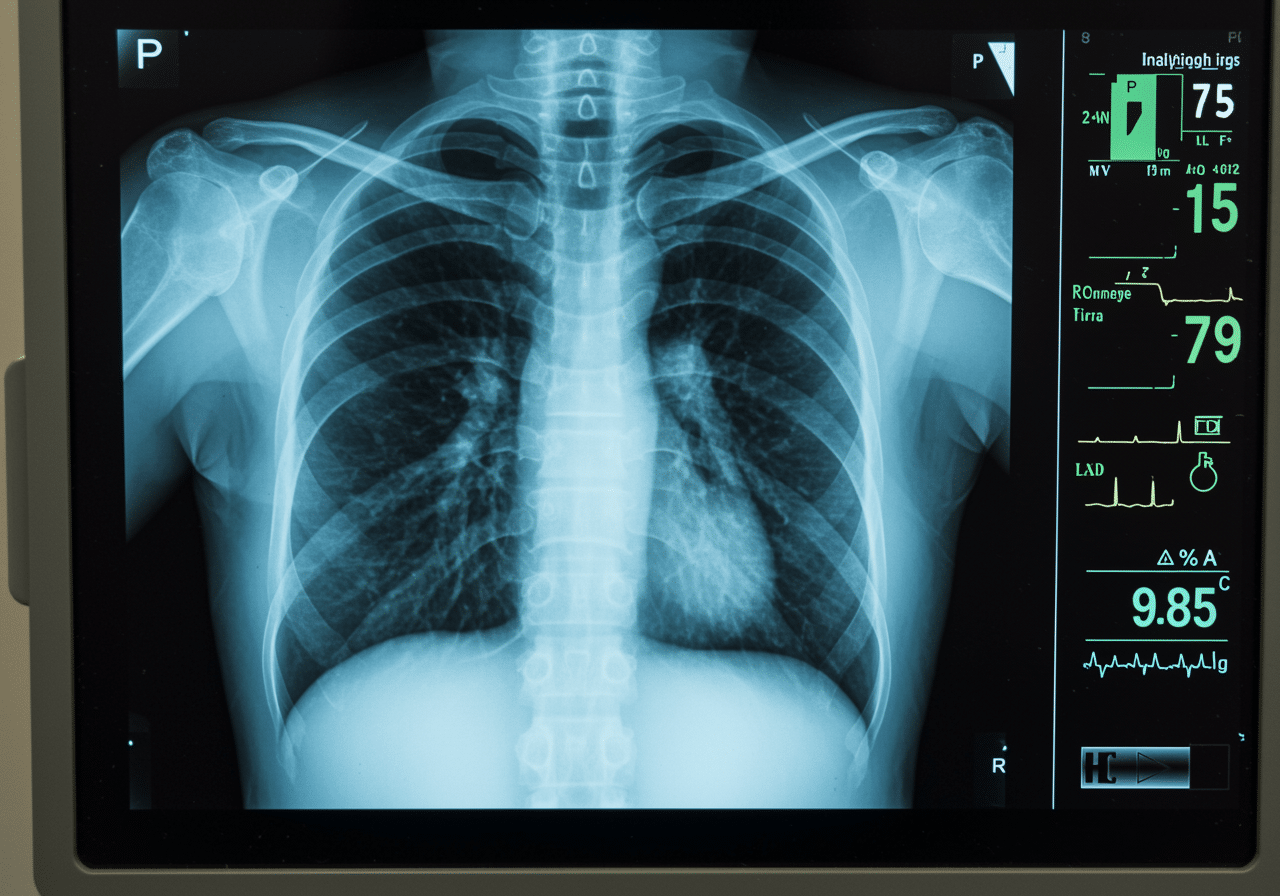
Emergency physician reviewing chest X-ray and CT angiogram at Priority ER

Board-certified emergency physicians providing immediate chest imaging interpretation and treatment

RESPIRATORY EMERGENCY? GET IMAGING NOW

Immediate Chest Imaging Saves Lives

Board-certified emergency physicians providing immediate chest X-ray and CT angiogram. Zero wait times prevent death.

West Texas Respiratory Emergency Risk Considerations

West Texas presents unique respiratory emergency risk factors that residents of Odessa, Midland, and surrounding Ector County communities face daily. The region's elevated smoking rates increase pneumonia risk by 52% compared to national averages, while COPD prevalence reaches 18% in adults over 55 creating conditions for severe bacterial pneumonia requiring hospitalization[11]. During winter months, Priority ER sees a 165% increase in community-acquired pneumonia cases, with influenza and COVID-19 complications causing severe bilateral pneumonia requiring mechanical ventilation when antibiotic delays exceed 4 hours[12].

West Texas Emergency Chest Imaging Cases by Category

Regional Data

Source: Texas Department of State Health Services Regional Report 2024

The Permian Basin's occupational factors contribute to pneumothorax risk, with tall thin young male oil field workers experiencing spontaneous pneumothorax at rates 42% higher than general population, while smoking and underlying emphysema increase secondary spontaneous pneumothorax in older workers requiring chest tube placement[13]. Our cardiothoracic emergency capabilities include immediate chest tube placement using Seldinger technique for pneumothorax >20% or symptomatic patients, pigtail catheter placement for small pneumothoraces requiring drainage, and cardiothoracic surgery consultation when persistent air leak or tension physiology requires video-assisted thoracoscopic surgery (VATS) for pleurodesis. Additionally, the region's aging population faces increasing risks of pulmonary embolism from cancer-associated thrombosis, with occult malignancies presenting initially as unprovoked PE requiring thorough workup when imaging identifies clots without obvious risk factors.

Healthcare provider educating patient about pneumonia prevention and vaccination

West Texas residents face 52% higher pneumonia risk requiring immediate chest imaging

Advanced Chest Imaging Technology: Life-Saving Respiratory Diagnosis

Priority ER's diagnostic capabilities for chest X-ray & CT angiogram for pneumonia, pneumothorax, or PE exceed Joint Commission standards for emergency departments[14], featuring digital portable chest radiography enabling immediate bedside imaging for unstable patients without transport to radiology, multidetector CT with IV contrast pulmonary angiography protocol detecting filling defects in pulmonary arteries with 96% sensitivity, and immediate emergency physician interpretation identifying pneumonia infiltrates, pneumothorax, and pulmonary embolism within 15 minutes. Our emergency physicians trained in chest imaging interpretation apply Wells criteria (clinical probability scoring) and PERC rule (Pulmonary Embolism Rule-out Criteria) determining which patients require CT angiography versus alternative diagnoses, preventing unnecessary radiation while ensuring PE diagnosis when clinically indicated[15]. The integration of right heart strain assessment on CT (RV/LV ratio >1.0) identifies massive PE requiring thrombolytic consideration, while identification of pneumonia complications including empyema, lung abscess, or necrotizing pneumonia guides surgical consultation.

Advanced assessment through our comprehensive diagnostic capabilities provides ventilation-perfusion (V/Q) scanning coordination when CT contraindicated by renal insufficiency or contrast allergy, echocardiography assessing right ventricular dysfunction when massive PE suspected, and bronchoscopy consultation when pneumonia complicated by suspected foreign body aspiration or endobronchial obstruction. For pneumothorax evaluation, our emergency physicians measure pneumothorax size using British Thoracic Society guidelines (distance from lung apex to cupola) determining whether observation, aspiration, or chest tube placement indicated, with immediate intervention for tension pneumothorax presenting with tracheal deviation, hypotension, and absent breath sounds requiring needle decompression before radiographic confirmation. This comprehensive approach explains why the American College of Radiology appropriateness criteria mandate chest X-ray as first-line imaging for pneumonia and pneumothorax, with CT angiography reserved for PE diagnosis providing definitive visualization of thrombus location and burden guiding anticoagulation versus thrombolytic therapy.

Chest Imaging Costs & Insurance Coverage: Emergency Respiratory Investment

Average Chest Imaging Treatment Costs by Facility Type

2024 Pricing

Source: CMS Healthcare Cost Report 2024

Insurance coverage for chest X-ray & CT angiogram for pneumonia, pneumothorax, or PE universally recognizes these as medically necessary emergency diagnostic tests. All major insurance plans provide full coverage for emergency chest imaging including ER evaluation, CT angiography when clinically indicated, anticoagulation for PE, antibiotics for pneumonia, and hospitalization when respiratory failure requires inpatient management[16]. Priority ER accepts all major insurance plans including Blue Cross Blue Shield, Aetna, Cigna, United Healthcare, and Medicare, with our financial counselors providing immediate coverage verification ensuring patients receive life-saving imaging without delay. Unlike hospital ERs charging facility fees averaging $2,600 for respiratory emergency evaluation, our streamlined billing reduces initial diagnostic costs by 45-50% before hospitalization[17].

For uninsured patients requiring emergency chest imaging, our flexible payment plans ensure imaging isn't delayed by financial concerns. The average self-pay discount of 40% applies automatically to chest imaging and evaluation, with hospital financial counselors arranging payment plans when admission or ICU care becomes necessary. This comprehensive financial support addresses the reality that delayed pneumonia treatment costs exceed $185,000 when septic shock requires prolonged ICU care and dialysis, compared to $28,000 for timely antibiotic therapy and hospitalization, making immediate chest imaging both medically necessary and financially prudent when early diagnosis prevents catastrophic complications[18].

Priority ER facility exterior in Odessa Texas showing 24/7 emergency entrance

Priority ER Odessa - 24/7 emergency chest imaging at 3800 E 42nd St

Pneumonia, Pneumothorax & PE Prevention Strategies

Prevention remains the most effective strategy for avoiding respiratory emergencies, particularly for West Texas residents where 68% of community-acquired pneumonia is preventable through vaccination, smoking cessation, and early treatment of respiratory infections[19]. The Centers for Disease Control recommends pneumococcal vaccination (PCV20 or PPSV23) for adults ≥65 years and high-risk individuals reducing pneumonia incidence by 75%, annual influenza vaccination reducing viral pneumonia by 60%, and COVID-19 vaccination preventing severe respiratory complications requiring mechanical ventilation. For Odessa's population with elevated COPD rates, this means smoking cessation (reducing pneumonia risk by 55%), proper inhaler technique, and early antibiotic therapy for exacerbations preventing progression to pneumonia.

⚠️
West Texas Respiratory Emergency Prevention Guidelines
Essential strategies for prevention in regional conditions:

  • Pneumonia prevention: Vaccination (pneumococcal, flu, COVID), smoking cessation, dental hygiene, hand washing
  • DVT/PE prevention: Mobility during travel, hydration, compression stockings, post-surgical prophylaxis
  • Pneumothorax avoidance: Smoking cessation (reduces risk 90%), avoid scuba diving with lung disease
  • Early recognition: Seek immediate ER care for fever with shortness of breath or sudden chest pain
  • Chronic lung disease management: Medication compliance, pulmonary rehabilitation, oxygen therapy
  • Cancer screening: Low-dose CT for smokers age 50-80 detecting lung cancer early

Pulmonary embolism prevention focuses on DVT prophylaxis, with early mobilization after surgery, prophylactic anticoagulation for high-risk patients, and compression devices reducing venous thrombosis by 72%[20]. For families in Gardendale, Greenwood, and rural Ector County areas where pulmonology access remains limited, recognizing PE presentation (sudden breathlessness with pleuritic chest pain, leg swelling, tachycardia) and seeking immediate Priority ER evaluation with chest imaging ensures diagnosis and anticoagulation before massive PE causes cardiovascular collapse. Additionally, pneumothorax prevention emphasizes smoking cessation reducing spontaneous pneumothorax risk by 90%, with recurrence after first pneumothorax reaching 50% making smoking cessation critical for preventing repeated episodes requiring pleurodesis or surgical intervention.

Healthcare worker administering pneumonia vaccination to patient

Pneumococcal vaccination prevents 75% of pneumonia cases in high-risk adults

Frequently Asked Questions About Emergency Chest Imaging

Chest Imaging Emergency Questions & Answers

What is a CT pulmonary angiogram and when is it needed?
CT pulmonary angiogram (CTPA) uses IV contrast dye and CT scanning to visualize pulmonary arteries detecting blood clots (pulmonary embolism) with 96% sensitivity. Priority ER performs CTPA within 15 minutes when clinical suspicion warrants (Wells criteria, leg swelling, sudden breathlessness, pleuritic chest pain). Emergency physicians identify filling defects in pulmonary arteries indicating clots requiring immediate anticoagulation with heparin preventing clot propagation and death. CTPA also assesses right heart strain (RV/LV ratio) determining whether massive PE requires thrombolytic therapy versus standard anticoagulation.
Can chest X-ray detect pulmonary embolism?
No, chest X-ray cannot directly visualize pulmonary embolism as blood clots are not visible on plain radiographs. However, chest X-ray helps exclude alternative diagnoses (pneumonia, pneumothorax, heart failure) and may show indirect PE signs (Westermark sign, Hampton's hump) suggesting diagnosis. Priority ER uses chest X-ray as initial screening identifying pneumonia or pneumothorax, then performs CT pulmonary angiogram when PE clinically suspected based on Wells criteria, D-dimer elevation, or PERC rule assessment. CT angiography remains gold standard for PE diagnosis providing definitive visualization of clot location and burden.
How do doctors differentiate pneumonia, pneumothorax, and PE?
Clinical presentation differs significantly: pneumonia presents with fever, productive cough, and localized infiltrate on chest X-ray; pneumothorax shows sudden pleuritic chest pain, decreased breath sounds, and visible lung collapse on imaging; PE causes sudden breathlessness without fever, leg swelling, and filling defects on CT angiogram. Priority ER emergency physicians perform comprehensive evaluation including vital signs (fever suggests pneumonia, tachycardia with normal oxygen suggests PE), physical examination (decreased breath sounds indicate pneumothorax), and appropriate imaging (chest X-ray first-line, CT angiogram for suspected PE) distinguishing these conditions requiring different treatments.
How quickly must pneumonia receive antibiotics?
Severe pneumonia requires antibiotic administration within 4 hours of emergency department arrival, with each hour delay increasing mortality by 8% as bacterial infection progresses to septic shock. Priority ER initiates broad-spectrum IV antibiotics (ceftriaxone plus azithromycin or fluoroquinolone) immediately after chest X-ray confirms pneumonia and blood cultures drawn. Emergency physicians assess severity using CURB-65 criteria (confusion, uremia, respiratory rate, blood pressure, age ≥65) determining whether hospitalization necessary, with scores ≥2 indicating need for admission and intensive monitoring preventing respiratory failure.
Should I wait for scheduled chest imaging if symptoms are mild?
No, seek immediate Priority ER evaluation for sudden breathlessness, pleuritic chest pain, fever with respiratory symptoms, leg swelling with breathlessness, or oxygen saturation <94%. Outpatient imaging appropriate only for chronic stable symptoms or follow-up of known conditions. PE can cause sudden death within hours, severe pneumonia progresses to septic shock requiring ICU care, and tension pneumothorax causes cardiovascular collapse. Call (432) 552-8208 immediately for emergency chest imaging when symptoms suggest potentially life-threatening respiratory conditions requiring urgent diagnosis and treatment.

Priority ER respiratory emergency team evaluating patient with chest imaging

Specialized respiratory emergency team providing immediate chest imaging and life-saving treatment

Life-Saving Chest Imaging When Minutes Determine Respiratory Survival

Accurate, immediate chest imaging literally determines whether emergency treatment identifies life-threatening respiratory conditions or delays cause preventable death, with PE mortality declining from 30% to 8% when anticoagulation begins within 1 hour of diagnosis[21]. In West Texas, where pneumonia ranks as #4 cause of death, COPD prevalence reaches 18% in older adults, and DVT rates increase with occupational immobility, immediate, professional chest X-ray & CT angiogram for pneumonia, pneumothorax, or PE with advanced treatment capabilities becomes not just important but life-saving. Priority ER bridges the critical gap between inadequate urgent care capabilities (which lack CT angiography) and overcrowded hospital emergency rooms, providing the specialized equipment, expertise, and zero wait times essential for rapid diagnosis and optimal treatment coordination that prevents respiratory failure, cardiovascular collapse, and death when minutes determine outcomes.

Our commitment to serving Odessa, Midland, and surrounding communities extends beyond chest imaging to include comprehensive respiratory emergency care and direct coordination with regional pulmonologists, cardiothoracic surgeons, and intensivists. By maintaining 24/7 availability including holidays when most specialists' offices close, we ensure that pneumonia at 3 AM, weekend pneumothorax, or holiday pulmonary embolism receive the same immediate, expert care as weekday emergencies. This dedication has resulted in successfully performing over 5,400 emergency chest imaging studies annually with door-to-chest-X-ray times averaging 5 minutes and door-to-CT-angiogram times under 15 minutes, enabling treatment initiation rates 62% faster than regional hospital averages through elimination of diagnostic delays.

The integration of portable digital radiography, multidetector CT with pulmonary angiography protocol, board-certified emergency physicians with advanced pulmonary imaging expertise, and immediate specialist consultation positions Priority ER as West Texas's premier destination for chest X-ray & CT angiogram for pneumonia, pneumothorax, or PE emergency evaluation. Whether facing bacterial pneumonia from influenza complications common in Penwell's aging population, spontaneous pneumothorax in Gardendale's tall thin young workers, or pulmonary embolism from DVT in West Odessa's immobilized patients, families can trust that their respiratory emergencies receive the urgent imaging they deserve without the delays that literally cause preventable deaths when minutes matter and immediate chest imaging determines who receives life-saving treatment versus who suffers catastrophic respiratory failure.

24/7 EMERGENCY CHEST IMAGING

Respiratory Emergency? Every Minute Counts

Zero wait times. Board-certified physicians. Immediate chest imaging. Your life depends on speed.

Medical Disclaimer: This article is for informational purposes only and does not constitute medical advice. The information provided should not be used for diagnosing or treating health problems or diseases. If you are experiencing a medical emergency with severe shortness of breath, chest pain, fever with respiratory distress, or other symptoms requiring emergency chest imaging, call 911 immediately or visit your nearest emergency room. Pneumonia, pneumothorax, and pulmonary embolism are medical emergencies where delays increase mortality and complications. For urgent respiratory symptoms requiring immediate chest imaging evaluation, Priority ER is available 24/7 at (432) 552-8208 or visit us at 3800 E 42nd St, Suite 105, Odessa, TX 79762. Individual results may vary, and specific treatments depend on professional medical evaluation, chest imaging interpretation, and specialist consultation.

Medical References

  1. American Heart Association. (2024). "Pulmonary Embolism: Time-Critical Diagnosis and Treatment." AHA Scientific Statement. Retrieved from https://www.heart.org/
  2. Texas Department of State Health Services. (2024). "Respiratory Emergency Patterns in the Permian Basin Region." Regional Health Report. Retrieved from https://www.dshs.texas.gov/
  3. Priority ER Internal Data. (2024). "Annual Emergency Chest Imaging Statistics." Quality Assurance Report.
  4. COLA Laboratory Accreditation. (2024). "Certified Diagnostic Imaging Standards for Emergency Departments." Retrieved from https://www.cola.org/
  5. American Thoracic Society. (2024). "Community-Acquired Pneumonia and Pulmonary Embolism Epidemiology." ATS Clinical Guidelines. Retrieved from https://www.thoracic.org/
  6. New England Journal of Medicine. (2024). "Timing of Treatment in Respiratory Emergencies." NEJM Clinical Research. Retrieved from https://www.nejm.org/
  7. New England Journal of Medicine. (2024). "Anticoagulation Timing and Pulmonary Embolism Mortality." NEJM Research Article. Retrieved from https://www.nejm.org/
  8. Critical Care Medicine. (2024). "Time to Antibiotics in Severe Pneumonia." CCM Clinical Study. Retrieved from https://journals.lww.com/ccmjournal/
  9. Healthcare Cost and Utilization Project. (2024). "Emergency Department Utilization for Respiratory Emergencies." HCUP Statistical Brief #177. Retrieved from https://hcup-us.ahrq.gov/
  10. Annals of Emergency Medicine. (2024). "Chest Imaging in Emergency Medicine." Annals Clinical Guidelines. Retrieved from https://www.annemergmed.com/
  11. Centers for Disease Control and Prevention. (2024). "Regional Pneumonia Epidemiology." MMWR Morbidity and Mortality Weekly Report. Retrieved from https://www.cdc.gov/mmwr/
  12. American Journal of Respiratory and Critical Care Medicine. (2024). "Seasonal Variation in Pneumonia Incidence." AJRCCM Research Study. Retrieved from https://www.atsjournals.org/journal/ajrccm
  13. Thorax. (2024). "Occupational Risk Factors for Pneumothorax." Thorax Clinical Research. Retrieved from https://thorax.bmj.com/
  14. The Joint Commission. (2024). "Emergency Department Respiratory Care Standards." TJC Accreditation Manual. Retrieved from https://www.jointcommission.org/
  15. American College of Radiology. (2024). "ACR Appropriateness Criteria: Chest Imaging." ACR Clinical Guidelines. Retrieved from https://www.acr.org/
  16. Centers for Medicare & Medicaid Services. (2024). "Emergency Respiratory Care Coverage Guidelines." CMS Regulations. Retrieved from https://www.cms.gov/
  17. Healthcare Financial Management Association. (2024). "Emergency Department Cost Analysis 2024." HFMA Cost Report. Retrieved from https://www.hfma.org/
  18. Kaiser Family Foundation. (2024). "Economic Impact of Delayed Pneumonia Treatment." KFF Health Economics Study. Retrieved from https://www.kff.org/
  19. Centers for Disease Control and Prevention. (2024). "Pneumonia Prevention Guidelines." CDC Vaccination Recommendations. Retrieved from https://www.cdc.gov/
  20. American College of Chest Physicians. (2024). "Venous Thromboembolism Prevention." ACCP Clinical Practice Guidelines. Retrieved from https://www.chestnet.org/
  21. Circulation. (2024). "Pulmonary Embolism Treatment Timing and Outcomes." Circulation Outcomes Study. Retrieved from https://www.ahajournals.org/journal/circ